All Projects
A complete collection of my work, side projects, and experiments.

Converso
Voice-driven learning platform built with Next.js and VAPI. 100+ daily interactive sessions with 50+ paying users in beta.

BiteSwipe
Swipe-based restaurant discovery platform using Yelp API. Handles >10k swipes/min with optimized caching and query logic.

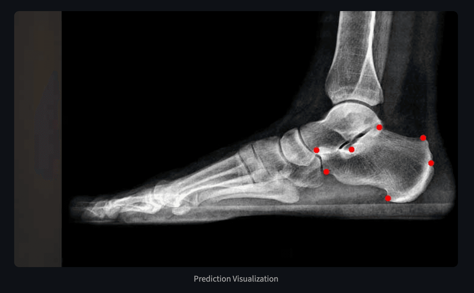
Automated Landmark Detection for Calcaneus
Streamlit app for automated calcaneus landmark detection using YOLO and GU2Net deep learning. 94% success detection rate with clinical interface.
Personal Finance Tracker
Quick and intuitive expense tracking application. Categorize transactions, set budgets, and visualize spending patterns.

Olympus
Platform to control AWS cloud resources (S3, EC2, Lambda) through natural language via NVIDIA's Nemotron LLM, MCP, and Terraform.

AutoHDR – Lens Distortion Correction
Automatic lens barrel distortion correction without a lens profile, using a FeGAN flow-map architecture and a custom geometry-weighted loss.