
I'm a CS student at UT Austin who got serious about software at 13 and never really stopped. I started with small Python scripts and worked my way up to full-stack SaaS apps and ML research at Harvard Medical School's Foot and Ankle Lab — all before graduating high school.
I like working on hard problems that matter — whether that's reducing surgeon review time with deep learning or shipping a voice-based learning platform that people actually pay for. I care about the details: clean code, thoughtful UX, and products that work reliably at scale.
A timeline of my professional experiences, achievements, and milestones.
IBM
Incoming Summer 2026 internship as SDE. Offered at 18 years old.
TANTV Studios
Built core infrastructure for the SyndexAI platform, leading development of a publisher dashboard and implementing authentication, AI summaries, caching, analytics, and scalable UI systems across two Next.js applications.
Harvard Medical School / Massachusetts General Hospital
Recognized for research contributions in clinical, biomechanical, and bioengineering innovation at FARIL.
ORS Annual Conference
Abstract on autolabeling of foot and ankle anatomy accepted for poster presentation.
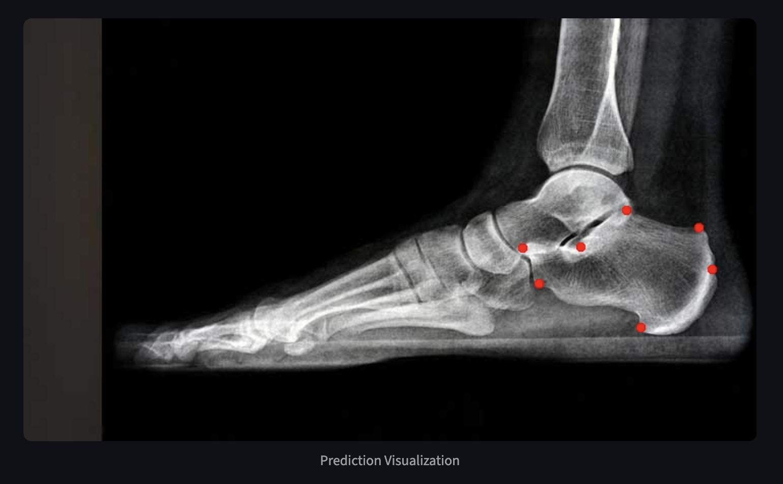
Foot and Ankle Innovation Lab @ Harvard Medical School
Implemented CNNs for anatomical landmark detection on 3000+ radiographs. Achieved 94% SDR with Grad-CAM interpretability, reducing surgeon review time by 30%.
Pocket AI @ Colubri Lab (UMass Chan Medical School)
Engineered ML-powered diagnostic feature for healthcare screening. Integrated SHAP interpretability, raising clinician trust scores by 35%. Projected to benefit 500+ patients.
AI Edge Lab @ Harvard School of Engineering
Collaborated on LLM development for chip architecture design. Labeled 550+ data points with NLP optimization, reducing API costs.
University of North Texas
Worked on AI literacy research and contributed to a paper submitted to Computers & Education Open.

Platform to control AWS cloud resources (S3, EC2, Lambda) through natural language via NVIDIA's Nemotron LLM, MCP, and Terraform.

Swipe-based restaurant discovery platform using Yelp API. Handles >10k swipes/min with optimized caching and query logic.

Voice-driven learning platform built with Next.js and VAPI. 100+ daily interactive sessions with 50+ paying users in beta.

Automatic lens barrel distortion correction without a lens profile, using a FeGAN flow-map architecture and a custom geometry-weighted loss.

Bachelor of Science in Computer Science
•GPA: 3.93 / 4.0
I'm always interested in interesting opportunities, collaborations, and conversations. Whether you want to discuss a project, ask a question, or just say hi—feel free to reach out. I'll do my best to get back to you!